 For over 2 decades, Dr. Michael Dorociak has been recognized as a leading provider of high quality dental implants to residents of Sarasota and the surrounding communities. We specialize in both the surgical placement and restoration of implants.  With extensive implant training, our implant specialist skillfully provides the proper, safe delivery of dental implants.  Whether it’s a single implant or full arch replacement, we use 3D imaging and advanced computer guided surgeries to obtain the very best results.  Our implant surgeon also uses continuing education to utilize the most cutting edge techniques and ensure patients receive the highest quality of implant treatment.
For over 2 decades, Dr. Michael Dorociak has been recognized as a leading provider of high quality dental implants to residents of Sarasota and the surrounding communities. We specialize in both the surgical placement and restoration of implants.  With extensive implant training, our implant specialist skillfully provides the proper, safe delivery of dental implants.  Whether it’s a single implant or full arch replacement, we use 3D imaging and advanced computer guided surgeries to obtain the very best results.  Our implant surgeon also uses continuing education to utilize the most cutting edge techniques and ensure patients receive the highest quality of implant treatment.
People are living longer than ever, and while regular brushing, flossing, and checkups allow many of us to maintain our natural smiles for a lifetime, sometimes our teeth just can't keep up. If you've lost a tooth (or a few teeth) due to injury or disease, dental implants can rejuvenate both your smile and your oral health.
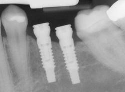
An implant is a synthetic tooth root in the shape of a post that is surgically placed into the jawbone. The “root” is usually made of titanium: the same material used in many replacement hips and knees, and a metal that is well-suited to pairing with human bone. A replacement tooth is then fixed to the post. The tooth can be either permanently attached or removable. Permanent teeth are more stable and feel more like natural teeth.
The ideal candidate for implants is a non-smoker who has good oral health, including a sufficient amount of bone in the jaw, and healthy gums with no sign of gum disease.
 Implants are versatile. If you are only missing one tooth, one implant plus one replacement tooth will do the trick. If you are missing several teeth in a row, a few strategically placed implants can support a permanent bridge (a set of replacement teeth). Similarly, if you have lost all of your teeth, a full bridge or full denture can be permanently fixed in your mouth with a strategic number of implants.
Implants are versatile. If you are only missing one tooth, one implant plus one replacement tooth will do the trick. If you are missing several teeth in a row, a few strategically placed implants can support a permanent bridge (a set of replacement teeth). Similarly, if you have lost all of your teeth, a full bridge or full denture can be permanently fixed in your mouth with a strategic number of implants.
Conventional bridges and dentures are not fixed to the bone, and can therefore be unstable. This can make it difficult to eat or smile with confidence. Implants not only look more natural, but feel and act more like normal teeth, with a stronger biting force. And because they don't directly rely on neighboring teeth for support, implants don't compromise the health of your natural teeth. In fact, bridges are only expected to last seven to ten years, even less with root canals, whereas implants will typically last a lifetime.
Consider your replacement teeth to be the same as natural teeth. They require the same daily brushing and flossing, and the same amount of regular checkups. Just like your natural teeth, the better you take care of your replacements, the longer they will last.
Our implant services include:
To learn more about our Sarasota dental implant treatment options, contact our office. Dr. Michael Dorociak will help you determine whether you are a good candidate for dental implants or help you explore your other restoration options. We provide a calm and welcoming environment in our office, sedation dental options, and personalized care to ensure that your visit to us is as comfortable as possible.